»Guess What!
Chapter 1, Part 2
Chapter 1, Part 1
Solution Overview
Case #31
Case #30
Case #29
Case #28
Case #27
Case #26
Case #25
Case #24
Case #23
Case #22
Case #21
Case #20
Case #19
Case #18
Case #17
Case #16
Case #15
Case #14
Case #13
Case #12
Case #11
Case #10
Case #9
Case #8
Case #7
Case #6
Case #5
Case #4
Case #3
Case #2
Case #1
Top of page
E
uropean
S
ociety of
T
oxicologic
P
athology
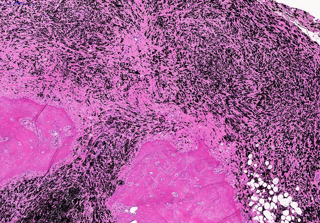
Guess What! ESTP Case #22, Fig. 2
case #22
|
Fig. 1
|
<<
|
view standard image
|
>>
|
Fig. 10
Case #22, Fig. 2: H&E, x10
Last update: 08-Apr-2016
Contact us...
E-mail this page...
Technical information...
© 2002-2026 European Society of Toxicologic Pathology